• Welcome Home
  • Who we are About Us
  • Fellows Fellows
  • About the Team Meet the Team
    • Prof Sithombo Maqungo
    • Dr Marc Nortje
    • Dr Brian Peter Bernstein
    • Dr Maritz Laubscher
    • Dr Ntambue Kauta
    • Dr David North
  • Rates Rates
  • Orthopaedic Resources Resources
  • Surgery Gallery Gallery
  • We are here Contact Us
Surgery Gallery

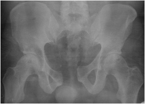
Fig1. - 'Open book' fracture of the pelvis.

Fig1. - Treated with open reduction and internal fixation.

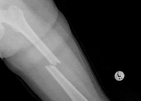
Fig2. - Midshaft femur fracture..

Fig2. - Treated with an intramedullary nail. Standard locking technique.

Fig3. - High energy peritrochanteric femur fracture.

Fig3. - Treated with a cephalomedullary nail.

Fig4. - Avascular necrosis right hip.

Fig4. - Treated with cementless total hip replacement.

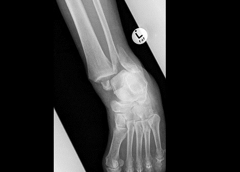
Fig5. - Fracture dislocation of the ankle joint.

Fig5. - Treated with open reduction and internal fixation with plates and screws.

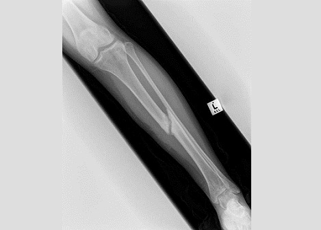
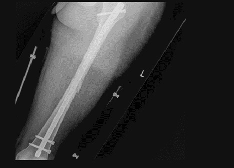
Fig6. - Midshaft tibia fracture.

Fig6. - Treated with an intramedullary nail

Fig7. - Complex proximal tibia fracture.

Fig7. - Treated with a hexapod type external fixator.

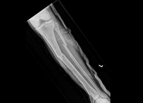
Fig8. - Open tibia fracture.

Fig8. - Treated with a monolateral external fixator.

Fig9. - Tibia fracture non-union.

Fig9. - Treated with a hexapod type external fixator.

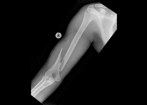
Fig10. - Humerus fracture.

Fig10. - Treated with open reduction and internal fixation.

Contact Us

  • info@otg.org.za

  • 021 506 5555

  • Ground Floor
    Life Orthopaedic and Vincent Pallotti Hospitals
    Park Road
    Pinelands

We're Social

© . Cape Orthopaedic Trauma Group. Medical Website Design by

Contact Us

  • info@otg.org.za

  • 021 506 5555

  • Ground Floor
    Life Orthopaedic and Vincent Pallotti Hospitals
    Park Road
    Pinelands

We're Social

© . Cape Orthopaedic Trauma Group. Privacy Policy Terms & Conditions Medical Website Design by